Çekim endiksayonu konmuş dişler kurtulabilir mi?
Çekim endikasyonu konmuş birçok diş, ehli ellerde doğru yapılan kanal tedavileri ile kurtarılabilmektedir.Kanal tedavisinde özellikle, bazı dişlerin standart dışı kök ve şekil sayılarına sahip olmaması; eğitim ve deneyim yanında hususi alet ve ekipman gerektirmektedir.Eğitim, deneyim ya da ekipman eksikliklerinde çoğu zaman, gerek tedavi sırasında gerekse sonrasında istenmeyen durumlar oluşabilmektedir.
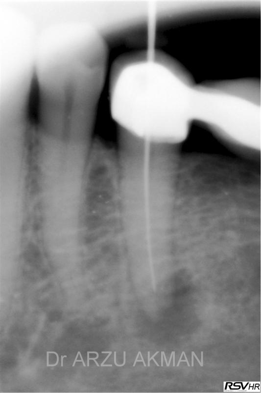
Aşağıdaki vakada daha önce kanal tedavisi yapılmış bir dişin içinde alet kırılması nedeni ile ,kanalın tam doldurulamadığı ve kök ucunda kist oluştuğu görülüyor. Öncesinde çekilmesine karar verilmiş bu vakada uygun aletlerle kırık aletin yanından geçilerek(by-pass), eski kanal dolgusu sökülerek döner aletler ve lazer eşliğinde yeni kanal dolgusu yapıabilmektedir .(retreatment)









